LA ESTÉTICA Y LA ODONTOLOGÍA
MODERNA
Dr.
Daniel Adler
|
Profesor
Titular de Operatoria Dental III
|
|
Universidad
Tecnológica de México (UNITEC)
|
RESUMEN
En la actualidad
la Odontología Estética es parte importante en la práctica cotidiana, y las
resinas restaurativas continúan jugando un papel importante para el odontólogo
de práctica general. Mientras continúa siendo un procedimiento demandante con
algunas carencias, en los últimos años se han visto mejoras en propiedades,
manejo, dispensación, selección de tonos y translucidéz.
El tamaño y el
volumen de las partículas de relleno son determinantes en las propiedades
mecánicas, resistencia al desgaste y características de manejo. El tamaño de
partícula de varios productos se ha vuelto más pequeño y se encuentra en el
rango sub-micrón. Pero hoy en este tiempo y en estos días hemos entrado a la era
de la “Nanotecnología”. La suavidad de superficie y durabilidad de estos
productos los hacen adecuados para aplicaciones anteriores y posteriores así
como para restauraciones indirectas.
SUMMARY:
Today Aesthetic
dentistry is an important part of every day practice, and restorative composite
materials continue to play and increasingly important role for the general
practitioner. While still a demanding procedure with some shortcomings, recent
years have seen improvements in properties, handling, delivery, and selection of
shade and translucency.
The size and
volume of the filler particles are primary determinants of mechanical
properties, wear resistance and handling characteristics. The particle size of
many products have decreased and are now in the submicron range. But now in this
world in this time we have entered the "Nanotechnology" era. The smooth surface
yet good durability of these products makes them suitable for anterior and
posterior applications and indirect restorations.
-----------------------------------------------------------
La
palabra estética se ha vuelto una nota que escuchamos diariamente en la práctica
cotidiana. Y no solo escuchamos este término en los consultorios dentales, basta
con encender la televisión en cualquier canal y lo primero que encontramos son
anuncios alusivos a estética como son aparatos para ejercitar el abdomen,
jabones y pastillas para adelgazar y una gran gama de productos enfocados al
mejor aspecto de la gente.
Hoy en día existe un sentir en la gente de búsqueda de un mejor
aspecto personal así como de una mejor imagen en el trabajo, así como en su vida
personal.
Estos cambios comenzaron en la odontología ya hace algunos años
con el advenimiento de los adhesivos dentinarios y los grandes cambios y
beneficios que proporcionaron a la práctica dental cotidiana. Siendo cada vez
más difícil el poder proponer a un paciente el efectuarle una restauración tan
simple como una amalgama dental o un onlay en oro siendo materiales que se han
utilizado en la odontología con éxito por más de un siglo.
Y hoy tenemos una basta selección de materiales estéticos con los
que podemos ofrecerle al paciente una restauración. Basta sentarlo en el sillón
y darle un menú como en el restaurante más selecto y ofrecerle 5 o más
alternativas estéticas para restaurar un diente y si no vean esta lista:
·
Resinas
·
Ionómeros de Vidrio
·
Compómeros
·
Cerómeros
·
Cerámica
En recientes publicaciones del New York Times se publicó un
artículo llamado “What’s New In Cosmetic Dentistry” donde reportaban el rápido
crecimiento de ésta área de la odontología en los Estados Unidos donde mencionan
datos muy impresionantes:
·
130,000 Dentistas estadounidenses hacen trabajos cosméticos
·
32
Billones de dólares en utilidades son generados por tratamientos cosméticos
·
Los
dentistas hacen 3 veces más trabajos cosméticos que los que realizaban hace 5
años por la aparición de mejores materiales, así como de carillas de porcelana.
·
El
uso de carillas de porcelana genera una utilidad anual de 250,000 dólares a
dentistas que realizan 10 tratamientos al mes
·
Además se ha popularizado el uso de agentes de blanqueamiento
·
En
los años 80s existían materiales de resina para distintos propósitos como lo
fueron: las resinas de microrelleno, las de macrorelleno, algunas casas
comerciales aconsejaban alguno de sus productos para aplicaciones oclusales etc.
·
En
los años 90s se utilizó un solo producto de resina para la mayoría de las
aplicaciones dentales llamándose Resinas Universales, o Híbridas.
·
En el
año 2000 volvemos nuevamente como en los 80s con productos distintos para cada
aplicación clínica con la gran ventaja en cuanto a mejores sistemas de
aplicación, mejores colores, tiempos de fotopolimerización más cortos. En este
grupo encontramos: Resinas Híbridas, compómeros, fluídas, condensables o
empacables y nuevamente vuelven a tener un gran auge las resinas de microrelleno
de las cuales hablaremos en este artículo así como su aplicación clínica
mediante un caso aunque su tendencia sea a desaparecer prontamente.
·
En el
2003 encontramos un claro avance en el área de restauración con resinas con la
introducción de las resinas de nanorelleno o con tecnología nanométrica
específicamente
3M ESPE Filtek
Supreme.
Estas son cifras impresionantes pero que no podemos comparar
estos datos con los costos de los tratamientos en Latinoamérica, pero lo que
queda claro es que la cosmética y estética dental es una industria la cual se ha
popularizado y cada vez más dentistas y pacientes están familiarizados con estos
tratamientos.
Un área en la odontología donde más hemos visto notables cambios
es en al área de las resinas. Y ha ocurrido en los últimos años un fenómeno
curioso con estos materiales:
Antecedentes
Las
resinas restaurativas consisten primariamente de relleno y resina. Los
compuestos de resina actúan como una matriz para mantener juntas las partículas
de relleno y posee una ligera influencia sobre las propiedades físicas. Cuando
las resinas entraron por primera vez en el mercado dental estas contenían
grandes partículas de relleno y son consideradas como de macrorelleno, el tamaño
promedio de partícula de relleno era mayor a los 5 micrones (en varios casos, el
tamaño promedio de partícula excedía los 10 micrones). Las resinas de
Microrelleno, que contenían relleno de sílica con un tamaño promedio de
partícula de 0.04 micrones ( con un rango entre 0.1 y 0.01 micrones) produjeron
un avance clínico significativo en estética sobre las resinas de macrorelleno
(incluyendo el pulido y retención del pulido) mientras la resistencia se
reducía. Las resinas Híbridas (resinas universales), con un tamaño promedio de
partícula menor a 1 micrón, fueron capaces de lograr la misma fuerza que las de
macrorelleno y a la vez mejorar la estética. Sin embargo varios dentistas
sintieron que la máxima estética (pulido y retención del pulido) era provisto
por las resinas de microrelleno. Hoy con el advenimiento de la tecnología de
nanorelleno se logra balancear estas propiedades logrando tener uno de los
productos de restauración con la mejor tecnología en el mundo como la resina 3M
ESPE Filtek Supreme.
Algunas de estas resinas que ya están en el mercado:
3M
Filtek A110
Renamel Cosmedent
Esthetex Dentsply
Epic-TMPT Parkell
Heliomolar Ivoclar
Durafill Kulzer
Vitalescense Ultradent
3M
Silux Plus
A
continuación se muestra un caso clínico en un cierre de diastema efectuándose en
combinación con un blanqueamiento dental, usando una resina de microrelleno (3M
Filtek A 110).
|
 |
 |
|
Paciente que
presenta un diastema, además de una pigmentación severa en el 1/3 incisal
de los incisivos centrales. |
|
 |
 |
|
Búsqueda del tono ideal previo al blanqueamiento
dental |
Colocación
de hilos de retracción gingival previo al blanqueamiento |
|
 |
 |
|
Aplicación de Opalescense Extra y fotopolimerizado en
intervalos de 30 segundos |
Vista del caso después del blanqueamiento |
|
 |
 |
|
Aplicación de blanqueador en guarda para el resto de los
dientes superiores |
Identificación del tono mediante el uso de la guía de
tonos de 3M Filtek A110 Restaurador Anterior |
|
 |
 |
|
Aislamiento con dique de hule, y limpieza con arena pómez |
Grabado con Ácido fosfórico al 35% durante 15 segundos |
|
 |
 |
|
Lavado de la preparación |
Aplicación del Sistema Adhesivo 3M Single Bond |
|
 |
 |
|
Aplicación de capa posterior de resina 3M Filtek Z250 tono
B0.5, para bloquear el paso de la luz. (Layering Technique) |
Aplicación de una segunda capa de 3M Filtek A110 tono A2
Dentin, para reponer la porción dentinaria |
|
 |
 |
|
Aplicación de una última capa de resina 3M Filtek A110 tono
A2 Enamel |
Terminado y pulido con discos 3M Sof-Lex |
|
 |
 |
|
Grabado del diente adyacente, siguiendo el mismo protocolo
ya mencionado. |
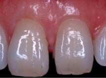
Vista Final |
Las resinas de
microrelleno siguen siendo muy útiles en situaciones donde se busca una alta
estética y pulido al alto brillo. Hoy con las ventajas de la tecnología
nanométrica, pronto veremos a estas resinas salir poco a poco del mercado
dental. Ningún sistema de resinas está completo si se olvida el uso de
opacadores y tintes con los que se pueden enmascarar algunos defectos y con los
que se puede detallar mejor el entorno del diente (Creative Color Cosmedent).
Finalmente nos
hacemos la siguiente pregunta:
¿Puede ser la
naturaleza emulada?
Creo que con los
excelentes materiales actuales y las técnicas de aplicación si es posible.
Gracias
Agradezco al Dr. Napoleón Limón por su ayuda y colaboración en la
realización de este trabajo.
Bibliografía
1. The Dental
Advisor Vol, 11, No. 3, September 1994
1997-Number 9
2. Revista Dentista Paciente, La Estética y la Odontología Moderna, Adler
Daniel, Noviembre - Diciembre 2000