ELECTROGALVANISMO EN ODONTOLOGÍA
NEUROFOCAL
|
Dra. Edith Isabel Núñez-Lucio |
|
Doctora en Odontología, Universidad Central del
Ecuador |
|
Diplomado en Odontología General, INCAFOE-G |
|
dentalnunez@easynet.net.ec |
|
|
RESUMEN
Los avances científicos en todas las áreas, en la
medicina y en la odontología en particular, nos hacen olvidar a veces que el
ser humano es una unidad integral indivisible y muchas veces hemos tratado un
problema odontológico únicamente pensando en la parte estética y funcional y nos
hemos olvidado del ser humano como una unidad, “porque una pequeña célula es
parte del todo, y el todo es parte de esa pequeña célula”. Todas las
estructuras están íntimamente relacionadas, de ahí que cualquier trabajo que
hagamos en boca, tiene acción en el organismo, para bien o mal en su salud. El
electrogalvanismo en medicina biológica constituye uno de los importantes campos
interferentes en boca (campo interferente es cualquier elemento que altere el
flujo normal de la información en el organismo). La colocación de metales en
boca debe ser valorado en cada paciente para evitar el electrogalvanismo que se
produce por descargas eléctricas entre los diferentes metales en boca y esto
ocasiona descargas eléctricas en el organismo entre 200 y 600 milivoltios de
energía constituyéndose en una espina irritativa lo que puede conllevar a un
problema de salud.
ODONTOLOGÍA NEUROFOCAL
Electrogalvanismo
La
Odontología Neurofocal desempeña en la actualidad un papel importante dentro del
desarrollo de la medicina biológica, pues en la cavidad oral puede encontrarse
el punto de partida o el factor desencadenante de una enfermedad sistémica, o
puede ser el sitio a través del cual el organismo refleja una patología a
distancia. Es necesario tener en cuenta que el ser humano es una unidad
integral, que todo está interrelacionado y dentro de una unidad, la boca con
todo su contenido es de vital importancia. Debemos tener en cuenta que al
trabajar sobre una pieza dental trabajamos sobre toda esa unidad vital y que si
no lo hacemos con criterio biológico y de la mejor manera posible, podemos
causar un desequilibrio de la fuerza vital, por tanto una enfermedad.
Quienes hacemos Odontología Neurofocal hemos
observado cómo gran parte de nuestros pacientes manifiestan mejoría en algunos
casos y en otros, curaciones de patologías a nivel sistémico, al realizar
tratamientos Odontológicos con visión holística.
Algunos
profesionales de la medicina biológica, en ocasiones encuentran dificultades en
el éxito de sus tratamientos. A dichos obstáculos se los llama en terapia
neural campo interferente.
Campo interferente por tanto
es cualquier elemento que altere el flujo normal de la información a través del
sistema básico de Pishinger que es el mismo tejido colágeno. Este es de vital
importancia ya que en el sistema básico se realizan una variedad de funciones
como es el intercambio iónico entre la matriz o sistema básico y la célula, el
transporte energético, lisis de bacterias, conducción del impulso energético,
mecanismo humorales, procesos metabólicos, etc.
Entre los campos interferentes más frecuentes
tenemos el electrogalvanismo que ocurre por la diferencia de potencial
eléctrico entre los metales como: restauraciones de amalgamas - prótesis
metálicas, postes de diferente aleación a la de la cofia, etc. El medio oral
posee características que inducen a la corrosión de los metales como
temperatura, humedad, cambio de PH, alimentos variados, etc. La corrosión
electrolítica se explica por la diferencia de potencial entre los diferentes
metales, en la que hay una verdadera degradación de la estructura metálica.
Los metales altamente electropositivos son más
resistentes a la corrosión. El elemento de referencia tomado es el Hidrógeno ya
que con él se establece el potencial de voltaje eléctrico.
TABLA ELECTROMOTRIZ - ORDEN EN LA QUE LOS METALES SON MAS RESISTENTES A LA
CORROSION
Oro
Au + + 1.50
Platino Pt++
0.86
Paladio Pd++
0.82
Mercurio
Hg++ 0.80
Plata Ag+
0.80
Cobre
Cu+ 0.47
Bismuto Bi+++
0.23
Antimonio Sb+++
0.10
METALES
QUE SEDEN FÁCILMENTE EL HIDROGENO
Plomo Pb++
-0.12
Estaño Sn++
-0.14
Níquel
Ni++ -0.23
Cadmio Cd++
-0.40
Hierro
Fe++ -0.44
Cromo Cr++
-0.56
Zinc Zn++
-0.76
Osorio Fajardo (1)
La presencia de metales en boca pueden desencadenar
desde los dientes, estados patológicos idénticos a los que producen focos de
cualquier índole, esto se debe a que los iones de los diversos metales se
separan, se disuelven y forman en el tejido de la encía complejos
metaloproteicos que pueden alergizar el organismo (2).
La presencia de diversos metales en boca como por
ejemplo las amalgamas, oro, coronas de acero, cromo níquel, cromo cobalto,
etc., hace que entre estos se produzcan tensiones eléctricas por la diferencia
de potencial eléctrico, y esto puede dar origen a un efecto patológico a
distancia. Es importante recordar que todos los metales son buenos conductores
de calor y la electricidad. El físico italiano Alessandro Volta demostró la
generación de electricidad utilizando dos metales disímiles inmersos en una
solución electrolítica, esto se reproduce cotidianamente en toda las
restauraciones odontológicas que contienen metal, sobre todo amalgamas que
tienen Ag , Cu , Hg, Zn, etc. Inclusive el oro dental que siendo el más noble,
tiene cierto grado de impureza para darle dureza. El oro dental, de 22 k es un
oro no muy rígido, comparado con el oro de joyas que es de 18 k y es duro,
rígido y menos puro.
La
presencia de diferentes metales en boca y el salivar favorece la generación de
corrientes eléctricas las cuales pueden oscilar entre 200 a 600 milivoltios de
energía convirtiéndose en un importante factor de irritación. Dichas tensiones
se generan en la cercanía de la base del cráneo y zona cervical, afectando por
excitación ininterrumpida de corriente eléctrica, liberada por los metales.
|
 |
 |
| |
|
|
Electrogalvanismo en boca
producido por el asentamiento de la prótesis de cromo cobalto sobre
amalgamas |
|
|
|
 |
 |
| |
|
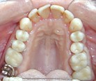
Electrogalvanismo por
presencia de amalgamas en el maxilar superior e inferior
|
| |
|
| |
|
|
 |
 |
|
Electrogalvanismo producido
en el interior dela pieza por la diferencia de potencial eléctrico entre
el poste de cobre aluminio y las cofias de las coronas de cromo níquel |
El
galvanismo no solamente se produce en el medio bucal en presencia de saliva,
también existe galvanismo en el interior de la pieza, por ejemplo cuando
colocamos postes metálicos cuya composición es diferente a las cofias de las
coronas; en muchas ocasiones se colocan postes de cobre aluminio o plata paladio
y como generalmente la base de las coronas metal porcelana es de cromo níquel se
produce el galvanismo. Lo recomendado en caso de necesitar metal en boca sería
utilizar oro dental ya que este difícilmente sede electrones por tanto no se
desintegra ni se corroe, el problema de éste es el costo. Otro metal que es bio-combatible
es el titanio y éste es la base de los implantes por tanto si colocamos un
implante de titanio la base de la corona de porcelana debería ser de titanio
para combatir el galvanismo interno. Esto no ocurre generalmente ya que las
coronas son de metal base - cromo níquel - produciéndose una descarga eléctrica
y diferencia de potencial, estas descargas eléctricas que aparentemente no
percibimos convenientemente, son percibidas por las células del organismo y este
estímulo permanente puede complicar o desencadenar una enfermedad.
PRESENTACION DE CASOS CLINICOS
CASO No. 1
Llega a la
consulta, un paciente de 47 años cuyo problema principal es una distrofia
muscular en sus manos que apareció hace 2 años; es progresiva, actualmente no
puede sujetar un vaso de agua y día a día pierde la fuerza en sus extremidades
superiores. Adicionalmente tiene una hernia cervical 3/4 y problemas a nivel
urogenital. Por su problema de salud fue despedido de su trabajo. Como
antecedente odontológico nos comentó que en el 2001 se realizó una
rehabilitación oral completa y le colocaron postes metálicos y coronas de
porcelana.
Al examen
clínico intraoral observamos coronas de porcelana con pequeños sobrecontornos en
sus márgenes y radiográficamente presenta postes metálicos cónicos.
|
 |
 |
|
Rx en la que se observa los postes metálicos |
Rehabilitación realizada en el 2001 |
| |
|
|
 |
|
Se observa las manos débiles y
pérdida de masa muscular |
Cuando
tenemos pacientes con enfermedades degenerativas no nos podemos dar el lujo de
dejar grandes intefrencias en boca y en este caso decidimos retirar las coronas
y ver el metal con que fueron hechos los postes, nuestra sorpresa fue para
nosotros encontrar tres postes de oroden uno de cromo níquel y un poste de
alambre de acero inoxidable colocados en el interior del conducto:
|
 |
 |
|
Obsérvese la diferencia de metal en los postes |
Corona retirada con el
poste en cobre aluminioy
la cofia en cromo níquel |
El tipo de
postes colocados eran cónicos y colados que son de difícil remoción, cuando se
los quiere reemplazar por postes cerámicos, que son más bio-compatibles;
tomando en cuenta la gravedad del paciente recomendamos la extreacción de las
piezas, para luego colocar una prótesis parcial provisional de acrílico. A los
ocho días el paciente regresó para retirar los puntos de sutura y fue agradable
para nosotros saber que había mejorado la parte urogenital, y que había podido
abrir la puerta con sus manos, cosa que no podía hacer antes. Este paciente fue
rehabilitado con un removible de acrílico con ganchos estabilizadores de cromo
cobalto. Personalmente creo que a futuro el paciente no va a poder llevar una
prótesis de metal porcelana por su problema de salud.
CASO
No. 2
Paciente
danés de 49 años que hace 8 años presentó cáncer de uraco (parte posterior del
ombligo–cordón umbilical). Fue tratado en Dinamarca quedando teóricamente
sano. A los 5 años presenta cáncer en pulmón y lo tratan extirpándole parte del
pulmón y nuevamente desaparece el cáncer. Hace 8 meses presenta nuevamente
cáncer en la glándula suprarrenal con metástasis al mediastino y decide combinar
su tratamiento con medicina biológica y fue remitido a mi consultorio para un
saneamiento de la boca. Al observar la radiografía y al examen clínico nos
llamó la atención la variedad de metales y la presencia de cordales en una
relativa mala posición.
|
 |
|
Rx en la que se observa metales en boca |
|
|
|
 |
 |
 |
|
Este paciente tenía problemas de electrogalvanismo entre
los diferentes metales en boca |
DESPUES
|
 |
 |
 |
|
Se le retiró las cordale y todas las amalgamas quedando solo una variedad
de metal que es el cromoniquel evitando de este modo el electrogalvanismo |
El
tratamiento en este caso fue retirar cordales por la relación que existe con las
glándulas de secreción interna y cambiar las amalgamas por incrustaciones de
porcelana pura, se le realizó restauraciones a nivel de cuello, ajuste oclusal,
quedando únicamente una corona de cromo níquel con las coronas de metal
porcelana en boca por tanto es el único metal que lleva el paciente. Al
hacerse este saneamiento evitamos el galvanimno del medio bucal, y al retirar
las cordales mejoramos el funcionamiento de las glándulas de secreción interna y
la capacidad energética mejora. De esto han transcurrido dos meses el paciente
regresó a su país para su chequeo médico y sabemos que el cáncer está detenido.
Creo que la medicina biológica junto con el saneamiento odontológico ayuda
definitivamente a una mejoría en salud, y si esto no es posible al menos se
consigue una mejor calidad de vida a situaciones terminales y problemas
crónicos, y el ser nosotros partícipes de este cambio, realmente nos da mucha
alegría y nos alienta a seguir trabajando y preparándonos en todos los campos en
beneficio de nuestros pacientes.
CONCLUSIONES
No se debe
colocar diferentes metales en boca.
En el caso
que se necesite para su rehabilitación se debería de colocar un solo metal en
boca de preferencia oro dental.
Cuando el
paciente requiere prótesis fija metal porcelana en uno de los maxilares y en el
otro una prótesis removible de cromo cobalto, recomendamos que el paciente no
duerma con el removible puesto.
Según Wolf
médico alemán manifiesta que el electrogalvanismo puede ser la causa de falta de
concentración, problemas sicológicos, vértigo, epilepsia.
Al cerrar
la boca los dientes superiores con los inferiores forman un circuito eléctrico,
pudiendo producir estrés neurológico, por esta razón, las placas
neuromiorelajantes, son antiestrés, por tanto relaja y mejoran los dolores de
cabeza.
No podemos
convertir la boca de un paciente en una pequeña ferretería o una batería
eléctrica colocando variedad de metales.
Si al
realizar una rehabilitación dental requerimos la colocación de postes o núcleos
intraradiculares preferimos los postes cerámicos que son biocompatibles.
Es
muy importante el estado de salud general del paciente para decidir el tipo de
trabajo que realicemos en boca. Existe pacientes con una buena capacidad de
autoregulación, y buena calidad de vida (alimentación, ejercicios, hábitos,
etc.) que pueden llevar metales en boca, inclusive postes metálicos, siempre y
cuando sean del mismo metal de las coronas.
Si
tenemos pacientes disminuidos en su salud o con poca capacidad de
autoregulación como por ejemplo un paciente de insuficiente renal no deberíamos
por salud, colocar ningún metal en piezas anteriores aunque este fuese el único
metal que lleve en su boca.
BIBLIOGRAFÍA
-
Tabla electromotriz. Mediciones Bioeléctricas.
Art. Publicado en la revista Federación Odontología Colombia. Dra. Josette
Osorio y Dr. Fernando Fajardo. Colombia 1997
-
Los iones de los diversos metales se separan y se
disuelven y forman en el tejido de la encía complejos metal proteicos que
pueden alergizar el organismo. Mediciones Bioeléctricas. Art. Publicado en
la revista Federación Odontología Colombia. Dra. Josette Osorio y Dr.
Fernando Fajardo. Colombia 1997
-
Trabajo sobre manejo Biológico de las
Endodoncias. Premio a la investigación en Medicina Biológica otorgado por la
Sanidad Internacional de Medicina Antimo homotoxica Huns-Heiwrich-Reckeweg
1998 a los doctores Josette Osorio y Fernando Fajardo
-
Enfermedades producidas por campos de
interferencia en el terreno del trigémino. Dr. Médico Odontólogo Ernesto
Adler 1983
-
La medicina Biológica, una medicina no
comprometida. Dr. Julio César Payán. Ed. Amo Bogota Colombia 1985
-
Terapia Neural en Odontología. Dr. Michael
Nosnnock 2001
-
Diálogos con Huneke. Dr. Fernando Pinto 2003.
Quito - Ecuador
-
Odontología Neurofocal Memorias. Dra. Josette
Osorio y Dr. Fernando Fajardo 2000
|