|
RESTAURACIÓN DE DIENTES TRATADOS ENDODÓNTICAMENTE
Dr. Alberto
Quiroga-Carriel
|
Especialista en Rehabilitación Oral, Universidad Autónoma de
|
|
Guadalajara, México |
Profesor Prótesis Fija,
|
|
Instituto de Capacitación de la Federación Odontológica Ecuatoriana |
|
titoqu@hotmail.com |
RESUMEN
La
rehabilitación de los dientes tratados endodónticamente merece especial
atención, ya que por lo general estas piezas deben ser sometidas a ciertos
procedimientos clínicos que les garanticen durabilidad. El tratamiento de
conductos no debilita los dientes, por tanto, no toda pieza tratada
endodónticamente debe recibir poste y corona. Los dientes anteriores
despulpados, pueden ser tratados simplemente con restauraciones que les
devuelvan el tejido perdido (resina compuesta), a no ser que falte gran parte de
la corona o que existan restauraciones múltiples y por razones estéticas el
operador decida colocar una corona completa. Los dientes posteriores
despulpados siempre serán tratados con cobertura coronal o con restauraciones
adhesivas en el afán de mantener sus paredes unidas. Los postes serán
utilizados únicamente cuando necesitemos retener una restauración y se preferirá
siempre un sistema de postes paralelos sobre los postes cónicos. Por último,
siempre la corona artificial deberá abrazar la suficiente cantidad de tejido
dentario, en altura y grosor, para hacer predecible el tratamiento y evitar así
las fracturas (31).
SUMMARY
Rehabilitation of endodontically treated teeth deserves special attention
because most of them must be subjected to various clinical procedures to
guarantee durability. The root canal treatment does not weaken teeth, so, not
every endodontically treated tooth must receive post, core and crown. Pulp less
anterior teeth may be treated with a simple filling to restore the lost tissue
(composite resin), unless there is no crown, there are many fillings, and
because of esthetics reasons the operator can decide to place a full crown.
Pulp less posterior teeth must always receive coronal coverage or adhesive
restorations in order to keep their walls together. Posts will only be used to
retain a core and one must always prefer a parallel-sided post system instead of
a tapered post. Finally, artificial crowns must always embrace enough quantity
of dental tissue, in height and width, to make treatment predictable and avoid
fractures (31).
-----------------------------------------------------------
INTRODUCCIÓN
Hasta la década de los 60’s
aún se creía que el tratamiento de conductos debilitaba a los dientes debido a
la disminución en el contenido de humedad (1).
Estudios han comprobado que
un diente tratado endodónticamente, tiene apenas un 9% menos de humedad, con
respecto a un diente vital, lo cual es clínicamente insignificante (2). De
igual manera, se ha demostrado que el acceso endodóntico, más los procedimientos
de instrumentación, le restan al diente un 5% de rigidez, mientras que una
cavidad oclusal le resta un 20%, una cavidad mesio-oclusal o disto-oclusal, un
46% y una cavidad mesio-ocluso-distal, un 63%, resultados que dejan claro, que
es la pérdida de sustancia dentaria lo que debilita a los dientes y no el
tratamiento de conductos por sí mismo (3). Cabe decir que ya en la década de
los 50’s se hablaba de estos conceptos, ya que autores como Ingraham creían que
no era el tratamiento de conductos lo que debilitaba a los dientes, sino la
pérdida del techo cameral (4).
Otro factor importante de
señalar, es que no todo diente tratado endodónticamente debe recibir poste y
corona para ser “reforzado” (5). Debido a que los postes son colocados en el
interior de las raíces, mal pueden ellos evitar la fractura de un diente ante un
estrés excesivo, de tal manera que los postes no refuerzan los dientes, y sólo
se los utiliza con los siguientes fines:
-
Para retener el muñón
falso, que a su vez va a retener la corona artificial, y
-
Para distribuir las
fuerzas oclusales a lo largo del eje longitudinal del diente a través de la
dentina que lo rodea (6).
Debido a que en la
literatura odontológica se usan muchos sinónimos que pueden llevarnos a
confusiones, cabe aclarar ciertos conceptos antes de continuar en la materia.
Se conoce como poste
solamente a lo que va dentro de la raíz. (Fig. 1) Entre sus sinónimos tenemos:
espiga, perno, anclaje intrarradicular, tornillo, refuerzo intrarradicular,
etc. Con respecto a este último, ratifico nuevamente que el poste bajo ningún
concepto “refuerza” al diente. Este término se lo puede encontrar en varios
artículos de revistas prostodónticas importantes a nivel mundial, y en un
momento dado puede llevarnos a confusiones sobre cuáles son los objetivos o
indicaciones de un postes.
El muñón comprende desde la línea de terminación
hasta la parte más coronal, y es aquella parte del diente que va a recibir y a
ser cubierta en su totalidad por la corona artificial. Puede estar constituido
íntegramente por tejido dentario, o en parte por tejido dentario (muñón
remanente) y en parte por algún material de restauración (muñón falso), pudiendo
ser este último, resina, ionómero de vidrio, compómero, amalgama o metal colado.
Debe
quedar claro que el hecho de colocar una corona completa en una pieza anterior
tratada endodónticamente no la va a reforzar contra la fractura y será
prerrogativa del odontólogo elegir este tratamiento cuando haya restauraciones
múltiples y/o por estética (5).
En
una pieza anterior que solamente presente el acceso endodóntico, se podrá
utilizar resina compuesta para restaurarla, teniendo presente que nuestra
función en este caso se limita a sellar la entrada al conducto para evitar el
paso de bacterias al interior del mismo y devolver la forma y función al
diente.
Cuando se utilizan postes prefabricados, la elección del material para
reconstruir el muñón falso, no tiene ninguna importancia desde el punto de vista
clínico, es decir que las propiedades físicas del material son irrelevantes, ya
que será el muñón remanente (efecto férula) el que se encargará principalmente
de soportar la restauración final (7).
Toda
pieza posterior tratada endodónticamente, deberá ser restaurada con cobertura
coronal (5). El primer premolar inferior puede considerarse como un canino en
el momento de restaurarlo, de tal manera que podremos hacerlo a través de una
resina compuesta. Esto se debe a la morfología de dicha pieza y a la dirección
en que recibe las fuerzas oclusales.
En
piezas posteriores con un acceso endodóntico mínimo, podemos restaurar
simplemente con amalgama. Si bien es cierto que este material cada día se está
utilizando menos, no podemos ignorar más de cien años al servicio de la
odontología restauradora, de tal manera que siempre que esté indicada, será una
buena opción (6,8,9). Sin embargo, debemos entender por “acceso mínimo”, aquel
que se realiza lo más conservadoramente posible, para poder hacer el tratamiento
de conductos, y no aquel que se realiza a través de una cavidad oclusal ya
existente.
Entendemos por cobertura coronal (Fig. 2) un onlay metálico o una corona
completa, sea esta de metal o metal-porcelana. Personalmente prefiero utilizar
una corona completa antes que un onlay metálico, por varias razones.
Primero, porque desde el punto de vista estético,
los onlays metálicos no son aceptables hoy en día. Además, a un onlay le faltan
apenas 1.5 a 2 mm. para ser coronas completas, entonces no se justifica el
tratar de ser “conservadores” con el tejido dentario, en este caso en
particular.
Segundo, porque a menos que se tenga mucha altura ocluso-cervical, los márgenes
interproximales de los onlays por lo general van a quedar subgingivales y por la
misma falta de espacio, no se van a poder diseñar troneras gingivales para la
higiene.
Y
tercero y más importante, porque las coronas completas dirigen las fuerzas
oclusales más favorablemente que los onlays, ya que la parte interna de estos
últimos, actuará como cuña, tratando de fracturar al diente (6).
En
la actualidad existe una nueva alternativa para restaurar las piezas posteriores
despulpadas. Se trata de inlays u onlays de porcelana, que mediante los
mecanismos de adhesión, pretenden mantener juntas las paredes del diente,
evitando la fractura (10). Cabe señalar que dos de la contraindicaciones para
hacer una restauración cerámica adhesiva, son cuando no queda esmalte disponible
a nivel del borde cavo-superficial, o cuando no se puede aislar con dique de
caucho (11). Si tenemos en mente que el éxito de una restauración adhesiva es
precisamente la “adhesión” al tejido dentario, no podemos pasar por alto estos
principios.
En
la secuencia fotográfica (Fig. 3) podemos observar cómo una pieza posterior
tratada endodónticamente fue restaurada a través de una incrustación cerámica.
La pérdida de estructura dental, en otras circunstancias hubiese obligado a la
colocación de un poste, una corona y probablemente a realizar una cirugía
preprotésica de alargamiento de corona clínico.
|
 |
|
Fig. 3 |
Por
último, cuando no haya necesidad de colocar un poste en una pieza posterior,
previa a la colocación de la corona definitiva, habrá que rellenar con cualquier
material de restauración, el acceso endodóntico, lo cual proporcionará soporte
horizontal y vertical a la restauración final (12). Para esto, un material como
el ionómero de vidrio o resina compuesta es aceptable (10).
FACTORES A
CONSIDERAR EN CUANTO AL USO DE POSTES
Métodos de elaboración.- Según los
métodos de elaboración los postes pueden ser: prefabricados y colados. Estos
últimos a su vez pueden ser mediante una técnica directa, por lo general
utilizando resina de autocurado, o mediante una técnica indirecta, a través de
una impresión.
En
la secuencia fotográfica (Fig. 4) observamos cómo se realiza un poste colado
paralelo mediante la técnica directa con resina de autocurado.
|
 |
|
Fig. 4 |
Secuencia clínica de la elaboración de postes paralelos colados mediante
la técnica indirecta, a través de una impresión con un polivinilsiloxano
(Fig. 5).
|
 |
Fig. 5
|
Materiales.- Según el material los
postes pueden dividirse básicamente en dos grandes grupos: los metálicos y los
no metálicos.
Dentro de los metálicos, a su vez, tenemos los prefabricados y colados.
Los prefabricados son de acero inoxidable o de titanio, y los colados pueden ser
hechos con oro tipo III o IV. En caso de no disponer de oro, la aleación de
primera elección será la misma que se utilice en la corona que restaurará
finalmente la pieza (por lo general níquel-cromo), para evitar las corrientes
galvánicas que pueden producirse cuando dos aleaciones diferentes entran en
contacto a través de un electrolito, que en este caso sería la saliva.
Debe evitarse el uso de
aleaciones como el cobre-aluminio o la plata-paladio, ya que éstas se oxidan en
la boca, y los productos de corrosión pueden pigmentar la raíz y los tejidos
gingivales subyacentes (13). Hay algunos estudios restrospectivos que inclusive
sugieren que estos productos de corrosión pueden ocasionar fracturas radiculares
(14, 15).
Los postes colados metálicos tienen alta resistencia a la
tracción, compresión y deformación (elevado módulo de elasticidad)
características que no son tan beneficiosas como parecen, pues sobre todo la
última aumenta la probabilidad de fractura radicular.
Entre los no metálicos tenemos los de
zirconio, de resina reforzada con fibra de vidrio y los de resina reforzada con
fibras de carbono. Los de zirconio tienen un módulo de elasticidad sumamente
elevado, inclusive mayor a los metálicos. Por el contrario, los de fibra de
vidrio y de carbono, tienen el módulo de elasticidad más parecido al de la
dentina, y por tanto son los que menos posibilidades tienen de ocasionar
fracturas radiculares (Fig. 6).
|
 |
|
Fig. 6 |
Forma.- Según
su forma los postes pueden ser cónicos (Fig. 7a) o paralelos (Fig. 7b). Siempre
se debe preferir un sistema de postes paralelos antes que uno de postes cónicos,
por varias razones.
|
 |
 |
|
Fig. 7a |
Fig. 7b |
Si
recordamos los dos únicos objetivos que existen para la colocación de postes,
que son retención y distribución de fuerzas oclusales, los postes paralelos son
más retentivos que los cónicos (17), y también distribuyen las fuerzas más
favorablemente, debido a la capa amortiguadora formada por el agente cementante
y/o gutapercha que rodea a los postes paralelos (16,17). Por el contrario, los
postes cónicos, están íntimamente adosados a las paredes del conducto.
Por
esta última característica de los postes cónicos, es muy difícil retirarlos
cuando hay que hacer un retratamiento endodóntico, en cambio, los postes
paralelos, después de romper el cemento con ultrasonido, son fácilmente
retirados mediante movimientos giratorios, cosa que no se puede hacer con un
poste cónico, porque se correría el riesgo de fracturar la raíz, ya que en un
corte transversal, estos últimos son ovoides y no cilíndricos.
Adicionalmente, la manera de fracaso de los postes cónicos, en un altísimo
porcentaje, es la fractura radicular, lo que por lo general vuelve al diente
intratable (18-20), mientras que la manera de fracaso de los postes paralelos,
es el desalojo del conducto (21).
Una
de las metas en la restauración de un diente tratado endodónticamente es crear
un diseño que preserve el diente cuando la restauración falle (22).
Configuración de superficie.- Los
postes, tanto paralelos como cónicos, pueden ser rugosos (serrados) (Fig. 8a),
lisos (Fig. 8b) o roscados (Fig. 8c). Los roscados, producen tensiones en la
dentina, lo cual puede llevar a la larga a la fractura radicular, y por esa
razón su uso es cuestionado (21, 23).
Longitud.- En cuanto a este
punto, mucho se ha discutido sobre si el poste debe medir lo mismo que la corona
clínica, por lo menos la mitad de la raíz clínica, o sobre cuántos milímetros de
gutapercha se deben dejar a nivel apical.
Debemos tener en cuenta que el poste será más retentivo, mientras más largo sea
(21, 23) y que distribuirá las fuerzas oclusales a la dentina por la cual esté
rodeado, por lo tanto, el poste debe ser tan largo como sea posible, dejando
como mínimo 4 mm de gutapercha (21, 24-26) para mantener un correcto sellado
apical. Tenemos que tener en cuenta lógicamente las curvaturas y los
accidentes morfológicos de las raíces.
Sobre los términos raíz y corona clínica, quiero
aclarar que la primera se extiende desde apical hasta la cresta ósea y la corona
clínica, desde la cresta ósea hasta oclusal o incisal (Fig. 9) (27), es decir,
que corona clínica no es sólo “lo que vemos clínicamente”, y por tanto
sólo la podemos ver y medir en una radiografía.
|
 |
|
Fig. 9 |
Diámetro.-
El poste debe ser colocado dentro de los confines del conducto tratado
endodónticamente, en otras palabras, no se debe ensanchar más el conducto, a
expensas de tejido dentario, para colocar un poste más grueso. Si bien es
cierto que un poste grueso es más retentivo que un poste delgado, la diferencia
es clínicamente insignificante (10). Debemos tener en mente que “por cada
libra adicional de retención, la dentina paga un tributo creciente, expresado en
tensión y daño potencial” (17).
Ya en la práctica, haciendo uso de la radiografía, y habiendo determinado la
longitud que queremos desobturar, elegimos el diámetro del poste a utilizar
tomando en cuenta el diámetro apical del conducto, y no el diámetro cervical
(Fig. 10).
|
 |
|
Fig. 10 RX
mesioradial de prueba antes de la cementación de un poste colado paralelo.
Nótese la diferencia en el diámetro cervical y apical del conducto. |
Una
de las críticas a los postes paralelos es precisamente el hecho de que al tratar
de colocar un poste paralelo en el interior de un conducto que anatómica y
endodónticamente es cónico, se puede ocasionar perforaciones radiculares,
fracturas radiculares o debilitamiento de las paredes de la raíz (28), sin
embargo al analizar las radiografías presentadas en tales artículos nos daremos
cuenta que definitivamente son postes “paralelos” que no siguen los lineamientos
generales de los que estamos hablando en este artículo, debido a que toman en
cuenta el diámetro apical y no el cervical en el momento de elegir el ancho del
poste.
Agente cementante.-
El tipo de cemento no tiene
significancia clínica sobre la retención del poste, es decir que podemos
utilizar el material con el cual estemos familiarizados (23, 29). Si se
trata de postes metálicos, el cemento de primera elección será el de ionómero de
vidrio modificado con resina, y si se trata de postes no metálicos, utilizaremos
cementos duales a base de resina. Cabe anotar sin embargo, que en varios
estudios realizados el cemento de fosfato de zinc arrojó los mejores resultados
cuando se los comparó con otro tipo de cementos (29).
Algo se ha dicho sobre los
posibles problemas que acarrearía el utilizar cementos de inómero de vidrio
convencionales para la fijación de postes, aduciendo que en presencia de
humedad, los ionómeros de vidrio se expanden y como el conducto es un medio
húmedo, esto podría ocasionar un estallido radicular, sin embargo no hay en la
literatura evidencia científica y clínica suficiente al respecto. En todo
caso, los ionómeros de vidrio actuales, modificados con resina, superan las
características físicas de sus antecesores y no tienen este problema.
Sistemas antirrotacionales.-
Debe evitarse cualquier sistema antirrotacional (llaves, formas geométricas
a nivel de la entrada al conducto, pins, etc.). El sistema antirrotacional
estará dado principalmente por la forma de la preparación. En última
instancia queremos que el poste rote y se desaloje, antes que fracture la raíz y
la vuelva intratable. El preparar un sistema antirrotacional sería
eliminar el “fusible” que protege al diente contra la fractura. En la Fig.
11 vemos un poste con dos pines, que en este caso constituyen un sistema
antirrotacional.
|
 |
|
Fig. 11 |
Número de postes (dientes
multirradiculares).- No necesitamos retención
máxima, sino retención óptima, por tanto no hay que colocar más de un poste en
una pieza multirradicular. Además un segundo poste, aunque corto,
constituye un sistema antirrotacional y es necesario lograr un equilibrio entre
los factores que aumentan la retención y los que protegen a la dentina (17)
(Fig. 12a).
Para este efecto, se escogerá la raíz más larga,
más ancha y más recta (Fig. 12b). Esta información es muy importante y nos
la puede proporcionar el endodoncista, sobre todo en aquellos molares inferiores
que tienen dos conductos distales, en los molares superiores que tengan más de
un conducto palatino, o en aquellos molares a los que se les hayan amputado las
raíces usadas tradicionalmente para colocar postes.
|
 |
|
Fig. 12a |
| |
|
 |
|
Fig. 12b |
El efecto férula es definido como un collar
metálico que rodea la periferia del diente, y que por esa característica de
abrazamiento, evita que la corona se separe en varios fragmentos (10). El
primer autor que describió en parte lo que ahora se considera efecto férula, fue
Rosen, en 1961 (30), seguido más tarde por Shillingburg en 1970 (8). Sin
embargo ellos hablaban de un “contrabisel” (Fig. 13) preparado en el muñón
remanente, que al ser abrazado por el muñón falso, mantendría al diente unido,
como lo hacen los cinchos en un barril. No fue sino hasta 1990 en que
Sorensen describió todos y cada uno de los factores que deben ser tomados en
cuenta, y que son:
|
 |
|
Fig. 13 |
-
1 mm en altura.- Debe existir
por lo menos 1 mm de altura, en sentido coronal, a partir de la línea de
terminación. Algunos autores hablan de hasta 2 mm.
-
1 mm de ancho.- Desde la pared
del conducto, hasta la pared externa de la preparación, debe haber por lo
menos 1 mm de grosor.
-
360 grados.- Las medidas antes
mencionadas deben ser consideradas en toda la periferia del diente, es decir,
en los 360 grados del mismo.
-
Paredes paralelas.- La
preparación debe ser lo más paralela posible.
-
Unión tope.- En la unión del
muñón falso con el muñón remanente de dentina, debe preparase una unión tope y
no una junta deslizante, para evitar que en cualquier instancia, el muñón
falso/poste se intruya en la raíz.
- Dentina sana.-
Los cinco puntos mencionados antes, deben ser logrados en dentina sana (Fig.
14).
| |
|
 |
|
Fig. 14 |
Cuando existen caries, fracturas o restauraciones antiguas subgingivales, y no
tenemos efecto férula, se debe someter al diente en cuesión a un
alargamiento de corona, por medio de una cirugía preprotésica o por medio de una
extrusión forzada con fibrectomía, con lo que se logrará exponer la cantidad de
tejido suficiente. Si aún así no se pudiera lograr efecto férula, una
alternativa sería ferulizar la pieza comprometida a una pieza vecina, para
distribuir entre ellas, las cargas oclusales.
PRESENTACIÓN DE
CASOS CLÍNICOS
Caso No. 1
|
 |
|
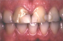
Paciente de sexo
masculino, 32 años de edad, que presentaba restauraciones extensas y
defectuosas en sector antero-superior, y cambio de color en la
estructura dental remanente. Se decide hacer blanqueamiento externo
con peróxido de carbamida al 15 % (Nupro White Gold - Denstply), una
restauración de resina en la pieza #22, tratamiento de conductos de las
piezas #11 y #21, con sus respectivas restauraciones. |
|
 |
Prueba de los postes Parapost Fiber
White (Coltene-Whaledent), justo antes de la cementación con
Rely X ARC (3M). Nótese el uso del dique de goma para todo
el procedimiento restaurador adhesivo
|
|
 |
|
Muñones
falsos restaurados con resina compuesta Filtek Z250 (3M) |
|
 |
|
Antes |
|
|
 |
|
Después |
|
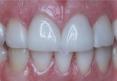
Caso terminado.
Se cementaron coronas de porcelana pura (Colorlogic, Denstply) con cemento
dual a base de resina Rely X ARC (3M). Nótese la diferencia en el
color final de los dientes y en la naturalidad de la restauración mesio-vestibular
de la pieza #22, la cual fue realizada con Filtek Z250 y Filtek A110 (3M).
Cabe destacar también el aspecto saludable de las encías, logrado por el
correcto manejo de los tejidos blandos y la colocación de márgenes
supragingivales. |
|
 |
|
Control
radiográfico final. Nótese la radiodensidad de los postes de fibra
de vidrio similar a la de los tejidos dentarios, si los comparamos con
postes metálicos. |
Caso No.
2
Paciente de sexo femenino,
25 años de edad, que presenta discromía marcada en la pieza #21, restauraciones
defectuosas en los cuatro incisivos superiores anteriores, con fracturas de los
bordes incisales de los centrales a consecuencia de un problema oclusal.
Se decide solucionar el problema endodóntico de los incisivos centrales,
previo a la colocación de postes y coronas completas de porcelana pura,
blanqueamiento interno con perborato de sodio de la pieza #21 y restauraciones
de resina compuesta en los incisivos laterales.
|
 |
|
Se
utilizaron Parapost (Coltene-Whaledent) de acero inoxidable, cementados
con un cemento de ionómero de vidrio Vitermer Luting Cement (3M). Los
muñones fueron reconstruidos con resina compuesta Z100 (3M) |
 |
 |
| Antes |
Después |
|
Caso terminado. Se cementaron coronas de
porcelana pura (IPS Empress I, Ivoclar) con cemento dual a base de resina
Variolink II (Vivadent). |
|
 |
|
Control radiográfico final. Nótese que los postes se
encuentran dentro de los confines de los conductos tratados
endodónticamente, lo que nos indica que no se eliminó estructura dental
innecesariamente. |
Bibliografía
-
Healey, H.J. Endodontics, St. Louis, 1960, The
C.V. Mosby Company, 267-268
-
Helfer, A.R.; Melnick, S. and Schilder, H.
Determination of the Moisture Content of Vital and Pulpless Teeth. Oral
Surgeon 1972, 34:661-670
-
Reeh, W.S.; Messer, H.H. and Douglas, W.H.
Reduction in Tooth Stifness as a Result of Endodontic and Restorative
Procedures. Journal of Endodontics 1989, 15:512-516
-
Ingraham, R. The Aplication of Sound
Biomechanical Principles in the Desing of Inlay, Amalgam and Gold Foil
Restorations. J.A.D.A. 1950, 40:402-413
-
Sorensen, J.A. and Martinoff, J.T. Intracoronal
Reinforcement and Coronal Coverage: A Study of Endodontically Treated Teeth.
JPD 1984, 51:780-784
-
Trabert, K.C. and Cooney, J.P. The Endodontically
Treated Tooth. Restorative Concepts and Techniques. Dental Clinics of North
America 1984, 28:923-951
-
Sorensen, J.A. and Engelman, Michael J. Ferrule
Design and Fracture Resistance of Endodontically Treated Teeth. JPD 1990,
63:529-536
-
Shillingburg Jr., H.T., Fisher, D.W. and Dewhirst,
R.B. Restoration of Endodontically Treated Posterior Teeth. JPD 1970,
24:401-409
-
Goerig, A.C. and Mueninghoff, L.A. Management of
the Endodontically Treated Tooth. Part I: Concepts of Restorative Designs.
JPD 1983, 49:491-497
-
Sorensen, J.A.
Preservation of Tooth Structure. California Dental Association 1988, 16:15-21
-
Schwartz, RS; Summit, JB; Robbins, JW and
dos Santos, J. Fundamentals of Operative Dentistry. A Contemporary
Approach. Quintessence,
Illinois, 1996
-
Nayyar, A.;Walton, R.E. and Leonard, L.A. An
Amalgam Coronal-Radicular Dowel an Core Technique for Endodontically Treated
Posterior Teeth. JPD 1980, 43:511-515
-
Arvidson, K. and Wroblewski, R. Migration of
Metallic Ions from Screwposts into Dentin and Surounding Tissues. Scand. J.
Dent. Res. 1978, 86:200
-
Angmar-Mansson, B.; Omnell, K. and Rud, J. Root
Fractures Due to Corrosion: I Metalurgical Aspects. Odontol. Revy. 1969,
20:245
-
Rud, J and Omnell, K. Root Fractures Due to
Corrosion: Diagnostic Aspects. Scand. J. Dent. Res. 1970, 78:397
-
Standlee, J.P. and Caputo, A.A. Biomechanics.
California Dental Association 1988, 16:49-58
-
Caputo, A. A. and Standlee, J.P. Pins and Posts,
Why, When and How. Dental Clinics of North America 1976, 20:299-312
-
Lovdahl, P.E. and Nichols, J.I. Pin-Retained
Amalgam Cores vs. Cast-Gold Dowel Cores. JPD 1977, 28:500
-
Perez-Moll, J.F.; Howe, D.F. and Svare, C.W. Cast
Gold Post and Core and Pin-Retained Composite Resin Bases: A Comparative
Study in Strength. JPD 1978, 40:642
-
Chan, R.W. and Bryant, R.W. Post-core Foundations
for Endodontically Treated Oisteruir Teeth. JPD 1982, 48:401
-
Sorensen, J.A. and Martinoff, J.T. Clinically
Significant Factors in Dowel Design. JPD 1984, 52:28-35
-
Sorensen, J.A. and Engelman, Michael J. Effect of
Post Adaptation on Fracture Resistence of Endodontically Treated Teeth. JPD
1990, 64:419-424
-
Standlee, J.P.; Caputo, A.A. and Hanson, E.C.
Retention of Endodontic Dowels: Effects of Cement, Dowel Length, Diameter and
Design. JPD 1978, 39:401-405
-
Bourgeois, R.S. and Ronald, R.L. Dowel Space
Preparation and Apical Leakage. J. Endodont. 1981, 7:66
-
Schnell, F.J. Effect of Immediate Dowel Space
Preparation on the Apical Seal of Endodontically Filled Teeth. Oral Surg.
1978, 45:470
-
Zmener, O. Effect of Dowel Preparation on the
Apical Seal of Endodontically Treated Teeth. J. Endodont. 1980, 6:687
-
Penny, R.E. and Kraal, J.H. Crown-to-Root Ratio:
It’s Significance in Restorative Dentistry. JPD 1979, 42:34-38
-
Weine, F.S.; Wax, A.H. and Wenkus, C.S.
Retrospective Study of Tapered Smooth Post Systems in Place for 10 Years or
more. J. Endodont. 1991, 17:293-297
-
Nicholls, J.I. Rebuilding the Treated Tooth. CDA
1988, 16:34-38
-
Rosen, H. Operative Procedures on Mutilated
Endodontically Treated Teeth. JPD 1961, 11:973-986
-
Quiroga, A. Consideraciones Básicas para la Rehabilitación de Dientes
Tratados Endodónticamente. Odontología Integral 1998-1999 3:14-17
|