ODONTOLOGOSECUADOR.com

BUSCADOR(odontólogos, temas y más)  

 .

Artículos para pacientes

Ajuste oclusal por desgaste selectivo

Publicidad

Muchos pacientes sufren (sin saberlo) de lo que se conoce como “disfunción temporo mandibular”.

 

Esta enfermedad crónica del sistema masticatorio se caracteriza por desgaste excesivo (sin razón aparente) de las piezas dentarias y, en algunos casos, dolor muscular a nivel del oído (articulación temporo mandibular).

 

Muchos pacientes llegan a la consulta refiriendo dolores de cabeza constantes y esto se da debido a la relación intima de los músculos elevadores de la mandíbula, en especial del temporal, con los músculos frontales y parietales.

 

La solución a este problema, aunque es relativamente sencilla, no se consigue en cualquier oficina dental.

 

Nos consideramos únicos en el Ecuador en dar una solución conservadora y práctica a este problema y hemos tratado con éxito a muchos pacientes en los 25 años que tenemos en servicio.

 

Lo primero que hay que hacer es encontrar la causa del problema, ésta muchas veces se localiza en una pieza dentaria que está en contacto prematuro y evita el cierre de forma fisiológica de la boca. Una vez ubicado el diente problema se eliminan todas las interferencias que evitan la función normal de sistema.

 

El tratamiento es completamente indoloro y generalmente toma de 2 a 3 citas culminarlo.

 

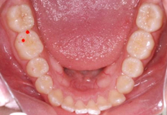
Los puntos rojos son las interferencias a la posición fisiológica de la mordida, una vez eliminados solo deben de quedar los puntos verdes que son los contactos correctos.

 

Autor: Si quiere hacerle una consulta a el Dr. Mario Romero  pude enviarle un email a consulta@buenaliento.com o comunicarse a las siguientes direcciones:

Publicidad
 

 

 
 

Inicio    │    Artículos para pacientes    │    Artículos para Odontólogos    │    Eventos Dentales    │    Políticas de Uso    │    Consultas Online

 

CONTÁCTENOS

Guayaquil Ecuador

 

Copyright © 2003 - 2013

Prohibida su reproducción parcial o total sin autorización escrita.

 
 

Con el respaldo de www.medicosecuador.com