Electro -
Galvanismo
La
Odontología Neurofocal desempeña en la actualidad un papel preponderante
dentro del desarrollo de la medicina biológica; pues en la cavidad oral puede
encontrarse el punto de partida o el factor desencadenante de una enfermedad
sistémica, o puede ser el sitio a través del cual el organismo refleja una
patología a distancia. Es necesario tener en cuenta que el ser humano es una
unidad integral que todo esta inter.- relacionado y dentro de una unidad la
boca con todo su contenido es de vital importancia debemos de tener en cuenta
que al trabajar sobre una pieza dental trabajamos sobre todo esa unidad vital
y que sino la hacemos con criterio biológico y de la mejor manera posible
podemos causar un desequilibrio de la fuerza vital por tanto una enfermedad.
Quienes hacemos Odontología Neurofocal hemos observado como gran parte de
nuestros pacientes manifiestan mejoría en algunos casos y en otros curaciones
de patologías a nivel sistémico al realizar tratamientos Odontológicos con
visión holistica.
Algunos profesionales de las medicinas biológicas en ocasiones
encuentran dificultades en el éxito de sus tratamientos que a dichos
obstáculos se los llama en terapia neural CAMPO
INTERFERENTE .
Campo interferente por tanto es
cualquier elemento que altere el flujo normal de la información a través del
sistema básico de Pishinger que es el mismo tejido colágeno, este es vital
importancia ya que en el sistema básico se realiza una variedad de funciones
como es el intercambio iónico entre la matriz o sistema básico y la célula
como: transporte energético, licis de bacterias, conducción del impulso
energético, mecanismo humorales, procesos metabólicos etc.
Entre los campos interferentes mas frecuentes encontramos el
electro-galvanismo que ocurre por la diferencia de potencial eléctrico de
diferentes metales como: restauraciones de amalgamas prótesis metálicas,
postes intraradiculares de diferente metal etc. El medio oral posee
características que inducen a la corrosión de los metales como temperatura ,
humedad, cambio de PH alimentos variados etc. La corrosión electrolítica se
explica por la diferencia de potencial entre los diferentes metales, en la que
hay una verdadera degradación de la estructura metálica.
Los metales altamente electropositivos son mas resistentes a la corrosión . El
elementos de referencia tomada es Hidrógeno que con el se establece el
potencial de voltaje eléctrico.
TABLA ELECTROMOTRIZ – ORDEN EN LA QUE LOS
METALES SON MAS RESISTENTES A LA CORROSION
Oro Au + + 1.50
Platino Pt++ 0.86
Paladio Pd++ 0.82
Mercurio Hg++ 0.80
Plata Ag+ 0.80
Cobre Cu+ 0.47
Bismuto Bi+++ 0.23
Antimonio Sb+++ 0.10
METALES
QUE SEDEN FÁCILMENTE EL HIDROGENO
Plomo Pb++ -0.12
Estaño Sn++
-0.14
Níquel Ni++ -0.23
Cadmio Cd++ -0.40
Hierro Fe++ -0.44
Cromo Cr++ -0.56
Zinc Zn++ -0.76
Los metales pueden desencadenar desde los dientes estados patológicos
idénticos a lo que producen focos de cualquier índole, esto se debe a que los
iones de los diversos metales se separan, se disuelven y forman en el tejido
de la encía complejos metaloproteicos que pueden alergizar el organismo.
Cuando encontramos en boca presencia de diversos metales ejemplo amalgama,
oro, coronas de acero, cromo níquel, cromo cobalto etc, entre estos surge
tensiones eléctricas por la diferencia de potencial eléctrico, y esto puede
dar origen a un efecto patológico distancia. Es importante recordar que todos
los metales son buenos conductores de calor y la electricidad. El Físico
Italiano Alessandro Volta demostró la generación de electricidad utilizando
dos metales disímiles inmersos en una solución electrolítica, esto se
reproduce cotidianamente en toda las restauraciones odontológicas que
contienen metal, sobre todo amalgamas que tienen Ag , Cu , Hg, Zn etc.
Inclusive el oro dental que siendo el mas noble tiene cierto grado de impureza
para darle cierta dureza, el oro dental es de 22 k es un oro no muy rígido,
comparado con el oro de joyas que es de 18 k y es duro rígido y menos puro.
La
presencia de diferentes metales en boca y el salivar favorece la generación
de corrientes eléctricas las cuales pueden oscilar entre 200 a 600 milivoltios
de energía convirtiéndose en un importante factor de irritación dichas
tensiones se generan en la cercanía de la base del cráneo zona cervical
afectado por excitación inenterrumpida de la corriente eléctrica liberado por
los metales.
Electrogalvanismo en boca prodUcido por el
asentamiento de la prótesis de cromo cobaltosobre amalgamas
|
 |
 |
|
|
|
|
|
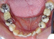
Galvanismo
por presencia de amalgamas en elmaxilar superior e inferior |
|
 |
 |
|
|
|
| |
|
|
Galvanismo
producido en el interior dela pieza por la diferencia de potencial
electrico entre el poste cerámicoque en unos son de oro y las cofias de
las coronas son de cromo niquel |
|

 |
El
electro-galvanismo no solamente se produce en el medio bucal en presencia de
saliva también existe galvanismo en el interior de la pieza ejemplo cuando
colocamos postes metálicos cuya composición es diferente a las cofias de las
coronas de porcelana; en muchas ocasiones se colocan postes de oroden que es a
base de cobre, cromo cobalto , cromo níquel, oro etc. generalmente las
coronas metal porcelana su base metálica es de cromo níquel y los postes
metálicos deberían ser de cromo níquel también para evitar el galvanismo lo
recomendado en caso de necesitar metal en boca seria de oro dental ya que este
difícilmente sede electrones por tanto no se desintegra ni se corroe, el
problema de este es el costo. Otro metal que es bio-combatible es el titanio y
este es la base de los implantes por tanto colocamos un implante de titanio la
base de la corona de porcelana debería ser de titanio para combatir el
galvanismo interno pero esto no ocurre generalmente y las coronas son de metal
base - cromo níquel – produciendo una descarga eléctricas y la diferencia de
potencial, estas descargas electricas que aparentemente no lo percibimos
convenientemente pero las células del organismo si lo perciben y este estimulo
permanente puede complicar o desencadenar una enfermedad .
CASO CLINICO.
Hace poco
días llego un paciente de 47 años cuyo problema principal es una distrofia
muscular en sus manos que apareció hace 2 años es progresivo actualmente no
puede sujetar un vaso de agua y que día a día pierde la fuerza en sus manos a
mas de esto tiene una hernia cervical 3/4 y problema a nivel urogenital, como
antecedente odontológico nos comentaba que en el 2.001 se realizo
rehabilitación oral completa y le colocaron postes metálicos y coronas de
porcelana.
Al examen
clínico intraoral observamos coronas de porcelana con sobre contorno en sus
márgenes y radigraficamente presenta postes metálicos cónicos.
Cuando
tenemos pacientes con enfermedades degenerativas no nos podemos dar el lujo
de dejar grandes intefrencias en boca y en este caso decidimos retirar las
coronas y ver el metal con que fueron hechos los postes, nuestra sorpresa fue
tres postes de oroden uno de cromo níquel y un poste de alambre de acero
inoxidable colocados en el interior del conducto:
|
 |
 |
|
Observese la
diferencia de metal en los postes |
El tipo de
postes colocados eran cónicos y colados que son difícil de retirar para
colocar postes cerámicos que son mas bio-compatibles; tomando en cuenta la
gravedad del paciente recomendamos y previa su autorización retirar las piezas
con poste incluido, colocamos una prótesis parcial provisional de acrílico. A
los ocho días regreso para retirar los puntos de sutura fue agradable para
nosotros saber que había mejorado la parte urogenital, y pudo abrir la puerta
con sus manos cosa que no lo pudo hacer antes; a este paciente tenemos que
retirar todo metal en boca y rehabilitarle con prótesis removible de acrílico
con ganchos estabilizadores de cromo cobalto que seria el único metal en
boca; dudo mucho que a futuro pueda llevar una prótesis de metal porcelana
por su problema de salud.
CASO No.
2
Paciente
Danés de 49 años que hace 8 años presento cáncer de uraco ( cáncer en la parte
posterior del ombligo – cordón umbilical ) se lo trataron en Dinamarca
quedando teóricamente sano. A los 5 anos de esto presenta cáncer en pulmón y
lo tratan extirpándole parte del pulmón y nuevamente desaparece el cáncer.
Hace 8 meses presenta nuevamente cáncer en la glándula suprarrenal con
metástasis almediastino y decide combinar su tratamiento con medicina
biológica y fue remitido a mi consultorio para un saneamiento en boca al
observar la radiografía y al examen clínico nos llamo la atención la
variedad de metales y presencia de cordales en una mala posición en boca.
El
tratamiento en este caso fue retirar cordales por la relación que existe con
las glándulas de secreción interna y cambiar las amalgamas en este caso lo
remplazamos con incrustaciones de porcelana pura, se realizo restauraciones
a nivel cuello, 5 ajustes oclusales quedando únicamente una corona de cromo
níquel con las coronas de metal porcelana en boca por tanto es el único metal
que lleva el paciente. Al hacerse este saneamiento evitamos el galvanimno
del medio bucal, y al retirar las cordales mejoramos el funcionamiento de las
glándulas de recresion interna y la capacidad energética mejora. De esto han
transcurrido dos meses el paciente regreso a su país para su chequeo medico y
sabemos que el cáncer esta detenido su proceso; creo que la medicina biológica
junto con el saneamiento odontológico ayudar definitivamente a una mejoría o
una mejor calidad de vida a pacientes con problemas crónicos o degenerativos.
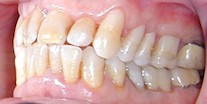
|
ANTES |
|
 |
 |
 |
|
Este
paciente tenia problemas de electrogalvanismo entre los diferentes metales
en boca |
|
DESPUES |
|
 |
 |
 |
|
Después de
un tratamiento con criterio biológico se le retiro todas las amalgamas
quedando solo un metal que es el cromoniquel evitando de este modo el
electrogalvanismo |
CONCLUSIONES
No se debe
colocar diferentes metales en boca.
En el caso
que se necesite para su rehabilitación se debería de colocar un solo metal en
boca de preferencia oro dental.
Cuando el
paciente requiere prótesis fija metal porcelana en uno de los maxilares y en
el otro una prótesis removible de cromo cobalto, recomendamos que el paciente
no duerma con el removible puesto.
Según Wolf
médico alemán manifiesta que el electro galvanismo puede ser la causa de falta
de concentración, problemas sicológicos, vértigo epilepsia.
Al cerrar
la boca los dientes superiores con los inferiores forman un circuito
eléctrico, pueden producir estrés neurológicos, por esta razón, las placas
neuromiorelajante, son antiestrés, por tanto relaja y mejora los dolores de
cabeza.
Es muy
importante el estado de salud general del paciente para decidir el tipo de
trabajo que realicemos en boca . Existe pacientes con una buena capacidad de
autoregulación, y buena calidad de vida ( alimentación, ejercicios, hábitos,
etc) que pueden llevar metal en boca, inclusive postes metálicos cuales deben
ser del mismo metal de las coronas.
Si tenemos
pacientes disminuidos en su salud o con poca capacidad de regulación como por
ejemplo un paciente de insuficiente renal no deberíamos por salud colocar
ningún metal en piezas anteriores aun que este fuese el único metal que lleve
en su boca.
CITA BIBLIOGRAFICA
Odontología
Neurofocal por los Dres Osorio- Fajardo Colombia tabla electromotrís Pag 47
LECTURAS
RECOMENDADAS
Odontologioa
Neurofocal del Dr Ernesto Adler
Dialogos
con el Huneke del Dr Fernando Pinto
Medicina Biológica del Dr
Julio Cesar Payan